汽车

中国苏绣当代艺术展亮相伦敦

人民网伦敦3月10日电(记者许立群)3月5日至15日,“苏绣:一项千年传统的觉醒”主题展在伦敦皇家地理学会展览厅向公众开放。《骷髅幻戏图之一》2017年70x70厘米。中国广西师范大学出版社供图该展览

(全国两会)全国政协委员李为民:多措并举 提升耐药结核防控能力

中新网北京3月11日电 (记者 王鹏)全国两会期间,全国政协委员、四川大学华西医院原院长李为民接受记者采访时表示,建议从基层能力建设、诊疗体系优化和科技攻关等方面入手,进一步提升我国耐药结核防控能力。

(全国两会)协商民主,贵在“务实管用”

中新社北京3月11日电 题:协商民主,贵在“务实管用” 中新社记者 杨程晨 全国政协十四届四次会议11日在北京闭幕。7天会期里,2000多名委员围绕“十五五”规划制定实施、推进中国式现代化等重大议题深入协商讨论,广

从保“鲜”到传“香” 黄土塬妇女巧手撑起乡村产业“半边天”

中新网兰州3月11日电 (盘小美)3月中旬的黄土高原,春寒料峭。清晨,甘肃省庆阳市西峰区温泉镇米堡村庆阳汇果塬果蔬有限责任公司的果库里,几十名工人有条不紊地开展苹果分拣、打包、装运等作业,一箱箱苹果已经码放整

“赘肉换牛肉”,无锡一街道发起减重挑战赛

中新网3月11日电 近日,江苏省无锡市梁溪区山北街道发起了一项健康减重挑战赛,可以用“赘肉换牛肉”,“2027年1月1日——10日为最终称重兑奖期,凡是参加活动的人员可以赘肉换牛肉:减重1斤赘肉换1斤牛肉或换3斤牛骨

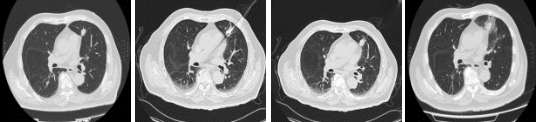
上海医生仅用35分钟一针消融病灶 机器人导航精准治疗

近日,上海市东方医院肿瘤科周彩存教授团队成功为一名高龄、肺功能基础差且病灶紧贴心脏的肺癌患者实施了机器人辅助下经皮穿刺消融手术

金饰克价跌回1603元 金价波动引关注

2026年3月1日,国际黄金价格升至5279.8美元/盎司。品牌金饰报价在1555至1608元/克之间,银行金条价格差异较大,水贝市场批发价约1330元/克,回收价约1148元/克

利弗莫尔中概股龙头指数收跌3.67%

利弗莫尔中概股龙头指数收跌3.67%。成分股中,南茂跌超11%,希尔威金属矿业跌9%,金山云、晶科能源跌超8%,小马智行、信也科技等跌超7%,小鹏汽车、唯品会等跌超6%,爱奇艺、奇富科技等跌逾5%;AHG涨10%,携程网、网易小幅上涨。...

男子买金条打三金时发现铼粉 掺假事件引发关注

湖南岳阳的王先生最近遇到了一件令人揪心的事情。他在中国黄金花费19380元购买了20克金条,准备用于结婚打三金。然而,在打金店进行最后制作时,意外发现金条内含有杂质,怀疑是掺假。经过专业仪器检测,确认金条中掺有铼粉

小伙退伍归来 全村敲锣打鼓唱歌欢迎

3月2日。贵州从江。据贵阳晚报最黔沿报道,从江小伙黄云龙退伍返回老家,全村的乡亲们站在村口迎接,敲锣打鼓唱歌欢迎黄云龙回家。...

首页 上一页 9 10 11 12 13 14 15 下一页 尾页

每页10条(第 12 / 240 页) 共 2392 条